Individuelle Lösungen für die perfekte Ästhetik
Ästhetische Zahnheilkunde München
Gesunde und schöne Zähne gelten als Ausdruck von Vitalität und lassen Sie sympathisch wirken. Damit tragen die Zähne entscheidend zu Attraktivität und Erfolg eines Menschen bei.
In unserer Praxis in München stellen wir daher nach der funktionellen Zahnheilkunde vor allem die ästhetischen Leistungen in den Mittelpunkt.
Die Ästhetische Zahnheilkunde wird in unterschiedlichsten Fällen angewandt: Zum Beispiel auch, wenn sich die Zähne durch den Genuss von Kaffee, Tee oder Nikotin oder durch die natürlichen Alterungsprozesse verfärbt haben. Oder etwa bei äußeren Einwirkungen wie Unfällen, Knirschen, Reiben oder Pressen der Zähne.

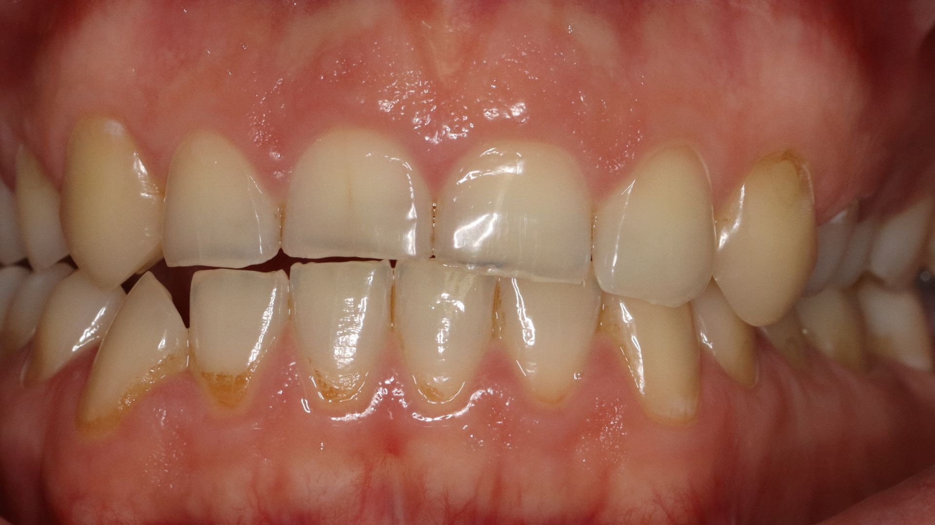
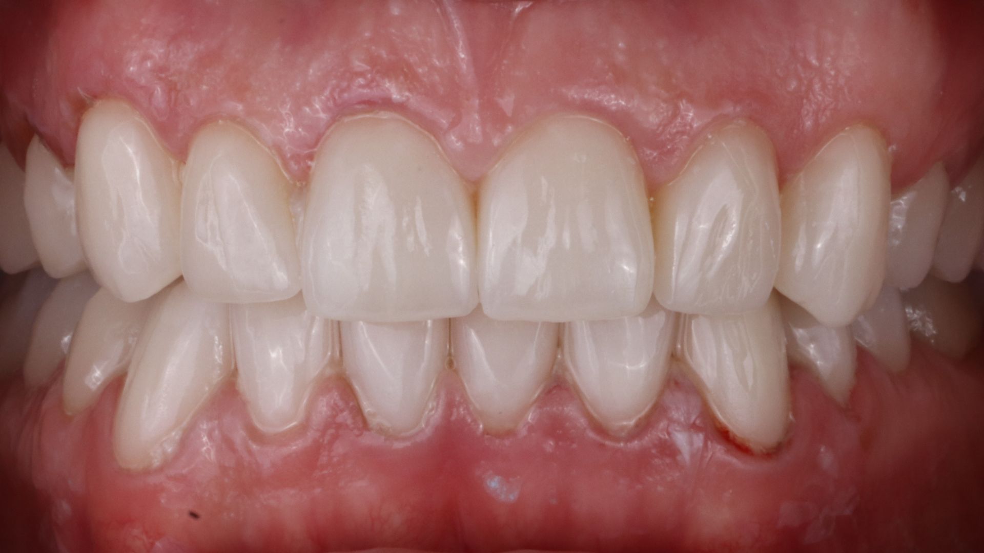
Smile Make Over
Ästhetische Verschönerung des Lächelns
In Ihrer Praxis für ästhetische Zahnheilkunde München sind wir nicht nur bei zahnmedizinischen Beschwerden Ihr Ansprechpartner, sondern unterstützen Sie auch gerne auf Ihrem Weg zu einem perfekten Lächeln. Denn nicht jeder ist mit seinem Lächeln, mit dem Aussehen seiner Zähne zufrieden. Mit unserem professionellen Smile Makeover können wir Ihr lächeln an Ihre persönlichen Vorstellungen anpassen.
Bei einem ersten Kennenlernen sprechen wir über Ihre Vorstellungen und Anliegen, damit wir genau wissen, was Sie sich wünschen. Es folgt eine Voruntersuchung, um zu schauen, mit welchen Maßnahmen wir Ihren Wunsch nach einem ästhetischen Lächeln ermöglichen können. In diesem Zuge fertigen wir hochauflösende Fotos, digitale Scans und Videos Ihres derzeitigen Lächelns an. Wir betrachten Ihre Gesichtssymmetrie und -ästhetik, wobei wir neben den Zähnen auch das Zahnfleisch und die Lippen sowie die Relation von Zähnen und Gesicht vermessen, digitalisieren und anschließend analysieren. Ziel ist es dabei unter Einbezug wissenschaftlich fundierter Ästhetikparameter das für Sie individuell schönste Lächeln zu kreieren.

Digital Smile Design
Wie wünschen Sie sich Ihr Lächeln?
Wir möchten, dass Sie unbeschwert Ihr schönstes Lächeln zeigen können – und haben uns deshalb auf das Konzept Digital Smile Design (DSD) spezialisiert. Digital Smile Design ermöglicht es uns, Ihr neues Lächeln auf innovative Art digital zu erstellen, zu visualisieren und umzusetzen. So können Sie das Ergebnis schon vor der Behandlung sehen – und sich ganz sicher sein, dass es zu Ihnen passen wird! Um Ihr neues Lächeln designen zu können, fertigen wir einen 3D-Scan Ihrer Zähne an. Dabei nutzen wir den Intraoralscanner, mit dem die Zähne berührungslos abgetastet werden. Dieser Vorgang dauert nur wenige Minuten und ermöglicht ein dreidimensionales, exaktes Abbild der aktuellen Zahnsituation, das am Bildschirm angeschaut werden kann. Gerne können Sie die Fotos auch mit nach Hause nehmen.

Bleaching
Für ein strahlendes, selbstbewusstes Lächeln
Wir heben Ihr Lächeln auf ein ganz neues Level – denn natürlich weiße Zähne wirken ästhetisch und anziehend. Viele Menschen haben daher den Wunsch nach einem makellos weißen und schönen Gebiss. In unserer Praxis können wir Ihre Zähne schonend und typgerecht in nur einer Sitzung deutlich aufhellen.
Wir tragen Ihnen ein schonendes Bleachinggel (Wasserstoffgel) auf die Zähne auf, das anschließend einige Zeit auf den Zähnen verbleibt. Das Bleichmittel durchdringt den Zahnschmelz und gelangt in das darunterliegende Dentin, wo es eine chemische Reaktion auslöst.
Das Ergebnis: eine sichtbare Aufhellung der Zähne und ein strahlendes, selbstbewusstes Lächeln.

Veneers
Kleine Zahnfehler korrigieren
Zu weit auseinander stehende Zähne, abgesplitterte Zahnkanten, unschöne verfärbte Zahnoberflächen oder zu große und unästhetische Füllungen – mit Veneers, dünnen Verblendschalen aus Keramik, lassen sich solche Makel im sichtbaren Bereich korrigieren. Die dünne und lichtdurchlässige Verblendschale wird zahnschonend aufgebracht – und passt sich perfekt der Form und Farbe des Zahnes an.

Zahnfarbene Füllungen
Karies erkennen und entfernen
Jede Karies beginnt mit Bakterien und einem sehr kleinen Loch im Zahn. Wenn sie in diesem Stadium entdeckt und entfernt wird, ist der Verlust an gesunder Zahnsubstanz minimal. Wird sie jedoch größer und breitet sich aus, nimmt die Zerstörung des Zahnes zu. Frühzeitig erkannt kann die Karies entfernt und der Zahn dauerhaft und substanzschonend mit einer minimalinvasiven Füllung verschlossen werden. So können Form und Funktion des Zahnes erhalten werden.
In Ihrer Praxis für Ästhetische Zahnheilkunde München stehen Ihnen verschiedene hochwertige Füllungsmaterialien zur Auswahl. Besonders gerne versorgen wir durch Karies verursachte Schäden der Zähne bei kleinen Defekten mit Komposit-/ Kunststofffüllungen, Alternativ mit Keramik, die härter und stabiler ist.

Inlays, Kronen & Teilkronen
Einen kaputten Zahn wiederherstellen
Wenn größere Schäden am Zahn entstanden sind, kommen laborgefertigte Füllungen aus Keramik, sogenannte Inlays zum Einsatz. Eine hohe biologische Verträglichkeit, lange Haltbarkeit und eine hervorragende Zahnästhetik zeichnen diese aus. Mit dem Keramikinlay ersetzen wir den fehlenden Zahnschmelz. Neben dem höchst ansprechenden ästhetischen Aspekt des Keramikinlays ergibt sich eine sehr gute Stabilisierung der Restzahnsubstanz durch die vollflächige Verklebung, der Zahn bildet wieder eine homogene Einheit.
Können die durch Karies verursachten Schäden nicht mehr durch Füllungen behoben werden, kommen Kronen zum Einsatz. Die Krone wird auf den verbleibenden Teil des kaputten Zahnes gesetzt und mit diesem verklebt, um den Zahn wiederherzustellen. Aber nicht immer ist ein Zahn so stark geschädigt, dass er komplett mit einer Krone überzogen werden muss. In solchen Fällen reicht es aus, die beschädigte Zahnsubstanz mit einer Teilkrone zu schützen. Die Teilkrone stellt einen Mittelweg aus Zahnfüllung und Vollkrone dar. Statt Füllmasse einzusetzen oder den gesamten Zahn zu beschleifen, um ihn zu verkronen, wird die Teilkrone nur auf den betroffenen Zahnbereich aufgesetzt. Unser Ziel ist immer, so viel Zahnsubstanz wie möglich zu erhalten.
Herausnehmbarer Zahnersatz
Für mehr Lebensqualität
Fehlende Zähne können nicht nur unschön aussehen, sie haben auch Auswirkungen auf unsere Sprache, unser Lachen und das Kauen. Ein ganzheitlicher Ansatz, der sowohl die Gesundheit als auch die Funktion berücksichtigt ist uns daher wichtig. Folglich ist es unser Ziel, funktionalen und zugleich ästhetischen Zahnersatz für Sie zu schaffen. Ein fester Biss, ein gutes Kaugefühl und natürlich schöne Zähne geben Ihnen mehr Unbeschwertheit und steigern Ihre Lebensqualität.
Der herausnehmbare Zahnersatz ist im Gegensatz zum festsitzenden Zahnersatz nicht im Kiefer verankert oder mit anderen Zähnen fest verbunden, sondern wird so an den natürlichen Zähnen oder Implantataufbauten befestigt, dass Sie ihn zum Reinigen ganz leicht lösen können. Beim herausnehmbaren Zahnersatz unterscheiden wir drei Varianten: die Teilprothese, die Vollprothese sowie die implantatgetragene Prothese.
Wenn nicht alle Zähne fehlen, es aber größere Lücken gibt, kommt eine Teilprothese zum Einsatz. In einen zahnlosen Kiefer wird die Vollprothese oder Totalprothese eingesetzt – sie ersetzt also eine ganze Zahnreihe. Bei der implantatgetragenen Prothese wird der herausnehmbare Zahnersatz statt an den restlichen eigenen Zähnen an Implantaten aufgehängt. Herausnehmbarer Zahnersatz auf Implantaten ist möglich für Teilprothesen und für Vollprothesen.
Implantologie
Für ein unbeschwertes Lachen und einen festen Biss
Mit dem Verlust der Zähne geht ein großes Stück Lebensqualität verloren. In der modernen Zahnheilkunde besteht im Bereich der Implantologie aber die Möglichkeit, verlorene Zähne durch Implantate zu ersetzen. Implantate sind künstliche Zahnwurzeln aus Titan oder Keramik, auf denen ein Zahnersatz wie eine Krone, Brücke oder Prothese befestigt wird. Auch kann herausnehmbarer Zahnersatz mit Implantaten hervorragend stabilisiert werden.
Da der Kieferknochen durch Implantate genauso belastet wird, wie durch die eigenen Zähne, wird der Knochenabbau verhindert. Zugleich werden die benachbarten Zähne geschont, da diese nicht, wie zum Beispiel bei einer Brücke üblich, beschliffen werden müssen.
Neben einem ästhetischen und natürlichen Aussehen bieten Zahnimplantate ein besseres Kaugefühl als andere Formen des Zahnersatzes. Die meisten Patienten empfinden Implantate nach einer recht kurzen Eingewöhnungsphase beinahe als echte, eigene Zähne
Sie möchten sich in unserer Praxis für Ästhetische Zahnheilkunde München beraten lassen? Dann nehmen Sie gerne Kontakt zu uns auf!
Jetzt Termin vereinbaren
